مسن يستعيد حياته ومظهره الطبيعيين بعد عملية تصحيحية لتعديل الحدب بمستشفى الدكتور سليمان الحبيب بالخبر
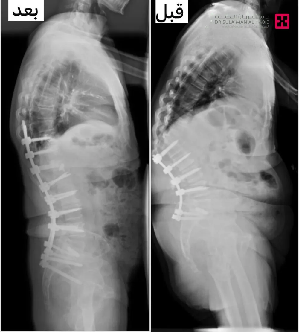
تخلص مراجع ثمانيني بمستشفى الدكتور سليمان الحبيب بالخبر، من معاناته مع تحدب حاد بالظهر تجاوز “80” درجة، واستعاد المظهر والقوام الطبيعي، بعد عملية تصحيحية لجراحة إصلاح تقوس بالعمود الفقري، ثم تعرض لكسر في الفقرات المتجاورة، مما زاد التحدب بحدة أكثر، ذكر ذلك د. سلطان السالمي استشاري جراحة المخ والأعصاب والعمود الفقري رئيس الفريق الطبي المعالج.
الذي قال أن المراجع زار المستشفى وهو يشتكي من انحناء مفرط للأمام في أعلى الظهر وتشوه في المظهر، مع آلام وصعوبة شديد بالوقوف والمشي. فتمت معاينته واخضاعه لعدة فحوصات دقيقة شملت، الأشعة السينية والأشعة المقطعية، إضافة إلى الرنين المغناطيسي، لتبيان ما إذا كان العمود الفقري مصاباً بالكسور، وأجريت له كذلك اختبارات الأعصاب، وقياس كثافة العظام. وقد أظهرت النتائج وجود كسر بالفقرات المتجاورة، بالإضافة إلى تحدب حاد بدرجة “80”.
واستطرد د. السالمي الحاصل على البورد والزمالة الفرنسية، أن الفريق الطبي درس الحالة، وخلص إلى أن هناك حاجة ماسة للتدخل الجراحي، وبالفعل أجريت له عملية دقيقة جرى فيها تثبيت الكسور، وتمديد الثبيت باستخدام المسامير المدعمة بالإسمنت الطبي من خلال التدخل المحدود، وتعديل التحدب واستغرقت العملية “4” ساعات، واستخدمت فيها تقنيات حديثة كالملاحة العصبية وتكللت جهود الفريق الطبي بالنجاح التام، ونقل المراجع إلى جناح التنويم وتحسنت حالته باضطراد مع الرعاية الطبية الحثيثة، والعلاج التأهيلي، إضافة أنه تخلص من الآلام واستعاد مظهره ومشيه الطبيعي، وعاد لممارسة حياته بصورة طبيعية.
وختم حديثه بالإشارة إلى أن مرض الحُداب، ينتج لدى كبار السن عادةً بسبب ضعف وهشاشة عظام العمود الفقري، ما يسبب انضغاطها أو كسرها، وقد ينتج عن تشوه أو تقوس عظام العمود الفقري. وتعتبر من العمليات المعقدة التي تحتاج إلى توفر الأجهزة والإمكانيات التي تسمح بإجراءها بشكل صحيح وآمن.
صحيفة الرياض 24 ، موقع إخباري شامل يهتم بتقديم خدمة صحفية متميزة للقارئ، وهدفنا أن نصل لقرائنا الأعزاء بالخبر الأدق والأسرع والحصري بما يليق بقواعد وقيم الأسرة السعودية، لذلك نقدم لكم مجموعة كبيرة من الأخبار المتنوعة داخل الأقسام التالية، الأخبار العالمية و المحلية، الاقتصاد، تكنولوجيا ، فن، أخبار الرياضة، منوعات و سياحة




