مستشفى-الدكتور-سليمان-الحبيب-بالخبر-يجري-عملية-استبدال-مفصل-ركبة-ناجحة-ويعيد-القدرة-على-الحركة-لـ”سبعينية”

مستشفى الدكتور سليمان الحبيب بالخبر يجري عملية استبدال مفصل ركبة ناجحة ويعيد القدرة على الحركة لـ”سبعينية”

بفضل الله – أعاد مستشفى الدكتور سليمان الحبيب بالخبر، القدرة على الحركة لامرأة تبلغ من العمر “75” عاماً، بعد عملية استبدال مفصل ركبة متقدمة، وأنهى التدخل الطبي معاناة السيدة مع الكثير من الأعراض الحادة، التي أهمها عدم القدرة على المشي.

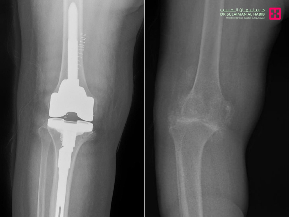
وقال د. حمد الشهراني استشاري جراحة العظام والمفاصل الصناعية، والطب الرياضي، رئيس الفريق الطبي المعالج، أن المراجعة جاءت إلى المستشفى على كرسي متحرك، مشتكية من عدم القدرة على المشي، وآلام حادة وتورم وتشوه في مفصل الركبتين، بالإضافة إلى تيبس وصعوبة في ثني الركبة، وخضعت لفحوصات طبية دقيقة، حيث أكدت صور الأشعة الطبية، وجود خشونة حادة بمفصل الركبة، مع تآكل بالعظم وارتخاء الغضاريف التي تحيط به وتحميه من الاحتكاك بشكل مباشر، وسبب كل ذلك في عدم قدرتها على الحركة وتقوساً بالركبة، وتمت مناقشة الحالة وفق معطيات التشخيص من قبل الفريق الطبي، ووضع خطة علاجية متكاملة، وأجريت لها عملية استبدال مفصل، في تدخل طبي استمر لنحو “90” دقيقة وقد تكللت ولله الحمد بالنجاح، وتم تحويلها مباشرة إلى جناح التنويم، حيث أمضت “4” أيام محاطة بالعناية الطبية الحثيثة، وبدأت في المشي على قدميها بعد العملية بساعات، وواصلت خلال تنويمها العلاج بالأدوية، بالإضافة إلى تنفيذها لبرنامج علاج طبيعي متكامل، وتحسنت حالتها الصحية باضطراد، إلى أن غادرت المستشفى وهي بصحة جيدة، حيث زال التقوس واستعاد الساق شكله الطبيعي، كما أنها تخلصت من الآلام وغيرها من الأعراض الحادة، التي كانت تنغص حياتها، إضافة إلى أنها استعادت قدرتها الكاملة على الحركة، حيث غادرت المستشفى إلى منزلها مشياً على قدميها وبحالة نفسية ممتازة.
يذكر أن مجموعة الدكتور سليمان الحبيب أولت تخصص جراحة العظام وزراعة المفاصل الصناعية، اهتماماً بالغاً، وحرصت على تقديم رعاية عالية الجودة لمرضى جراحات العظام والكسور والحوادث، ومن هم بحاجة لإجراء عمليات استبدال للمفاصل.

صحيفة الرياض 24 ، موقع إخباري شامل يهتم بتقديم خدمة صحفية متميزة للقارئ، وهدفنا أن نصل لقرائنا الأعزاء بالخبر الأدق والأسرع والحصري بما يليق بقواعد وقيم الأسرة السعودية، لذلك نقدم لكم مجموعة كبيرة من الأخبار المتنوعة داخل الأقسام التالية، الأخبار العالمية و المحلية، الاقتصاد، تكنولوجيا ، فن، أخبار الرياضة، منوعات و سياحة

اترك تعليقاً

لن يتم نشر عنوان بريدك الإلكتروني. الحقول الإلزامية مشار إليها بـ *